A anemia é um problema de saúde pública que afeta tanto crianças quanto adultos. De acordo com a Organização Mundial da Saúde (OMS), é definida quando os níveis de hemoglobina estão abaixo daqueles definidos para idade e sexo. É uma doença que afeta aproximadamente dois bilhões de pessoas no mundo e os principais sintomas sãocansaço e palidez. As causas da anemia são diversas, podendo ocorrer por perda sanguínea, baixa ingestão de ferro ou má absorção deste nutriente, ou por consequência de outras patologias.
O Diagnóstico da anemia é associado a clínica do paciente com exames complementares, além do hemograma, exames que avaliam o metabolismo do ferro são importantes para elucidar a causa da anemia, uma vez que é um problema multifatorial.
O hemograma é o exame completar mais solicitado pelos médicos. Através dele, é possível avaliar a quantidade de hemoglobina presente nas hemácias, a quantidade de hemácias circulante e a morfologia dessas células. É realizado por equipamentos automatizados e com análise complementar microscópica, a partir de um esfregaço confeccionado em lâmina de vidro e posteriormente corada.
Imagem 1:
Foto de esfregaço corado de um hemograma de um paciente normal (Hemoglobina 13,0 g/dL)
As células vermelhas são as hemácias, células que transportam a hemoglobina.

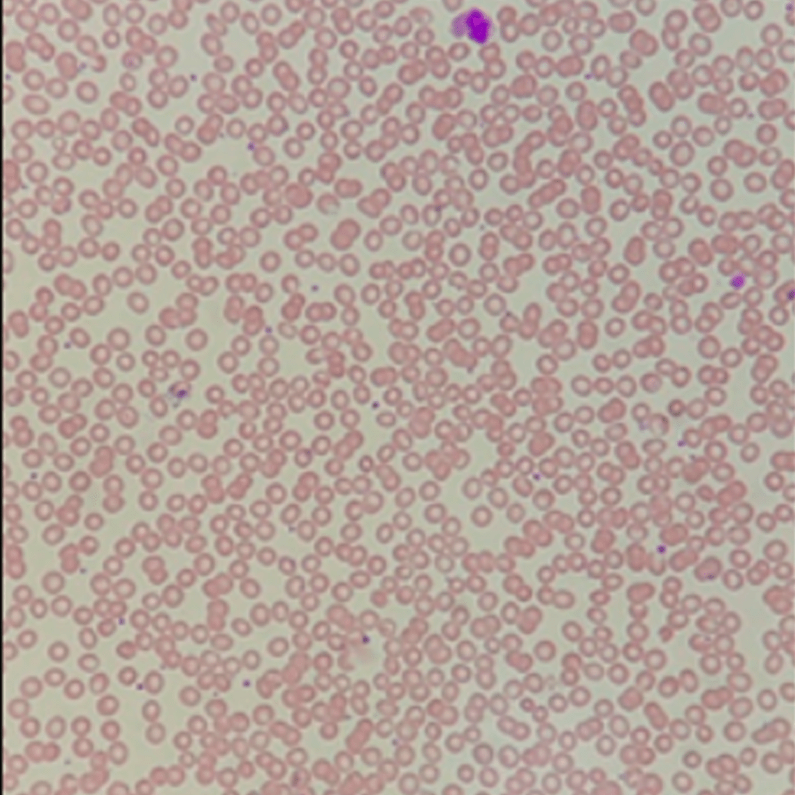
Imagem 2:
Foto de esfregaço corado de um hemograma de um paciente com anemia grave (Hemoglobina 7,1 g/dL)
É possível observar a hipocromia das células, causado pela baixa quantidade de hemoglobina.

Em um hemograma normal (imagem 1), as células apresentam população celular homogênea quanto a coloração (avaliado pelo parâmetro Hemoglobina Corpuscular Média – HCM) e tamanho (avaliado pelo parâmetro Volume Corpuscular Médio – VCM).
No hemograma de um paciente com anemia (imagem 2), as células possuem tamanhos variados, e a baixa quantidade de hemoglobina faz com que as células fiquem hipocrômicas (coloração mais clara).
É de extrema importância que a anemia seja rapidamente identificada e tratada, visto que ela é uma causa secundária. Em caso de suspeita de anemia, é necessário procurar um médico para um diagnóstico preciso e obter o tratamento necessário.
Referências:
Failace, Renato. Hemograma: Manual de Interpretação. 6. ed. Porto Alegre: Artmed,2015.
Ministério Da Saúde. Anemia por deficiência de ferro. Protocolo clínico e diretrizesterapêuticas. Portaria SAS/MS nº 1.247, de 10 de novembro de 2014.
Maiele Carvalo de Mendonça – Biomédica CRBM5: 4342
